Эластография!!! Новый революционный метод диагностики.

Эластография!!! Новый революционный метод диагностики.

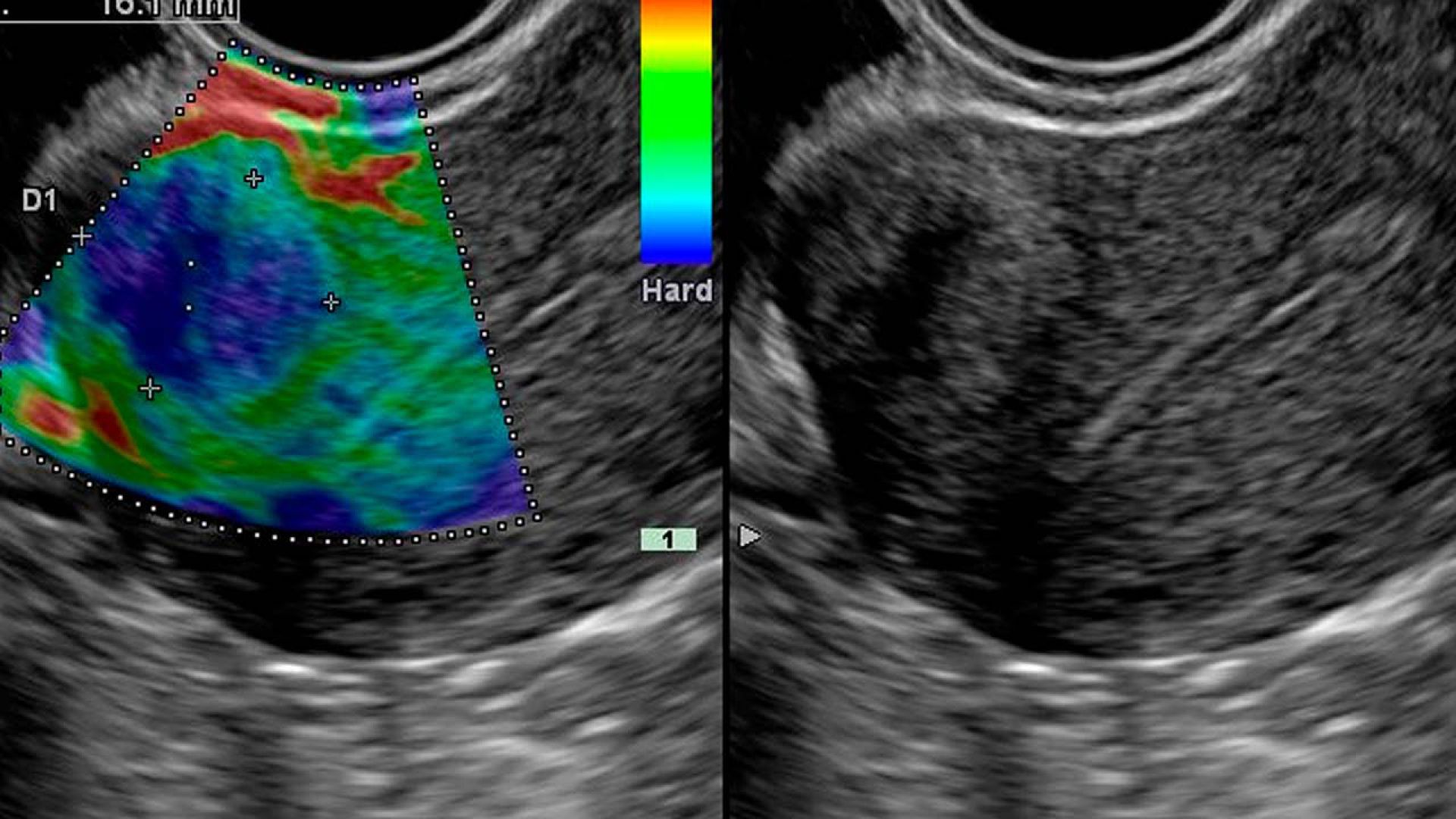
Выявление онкологии на ранних стадиях без биопсии на новом УЗИ-аппарате экспертного класса!

Метод применяется для диагностики различных органов и тканей:

  • Молочные железы — определение типа новообразования, его структуры и агрессивности, контроль доброкачественных процессов.
  • Щитовидная железа — диагностика новообразований, оценка их характера и состояния прилегающих лимфатических узлов.
  • Мочеполовая система — обследование предстательной железы, мочеточников и семенных пузырьков у мужчин.
  • Мягкие ткани, подкожно-жировая клетчатка, лимфатические узлы — обнаружение опухолей, уточнение их природы, местоположения и размеров.